2026 Calendar Contest
2026 Calendar Cover
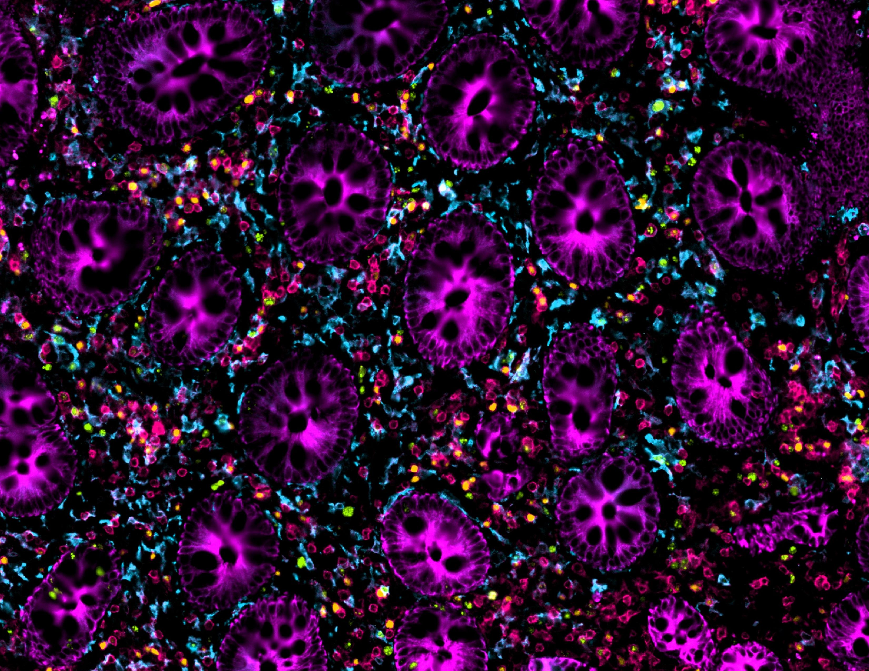
Normal piglet jejunum.
Image courtesy of Cecilie Becker, University of Copenhagen and Simon Goldstein, La Jolla Institute for Immunology.
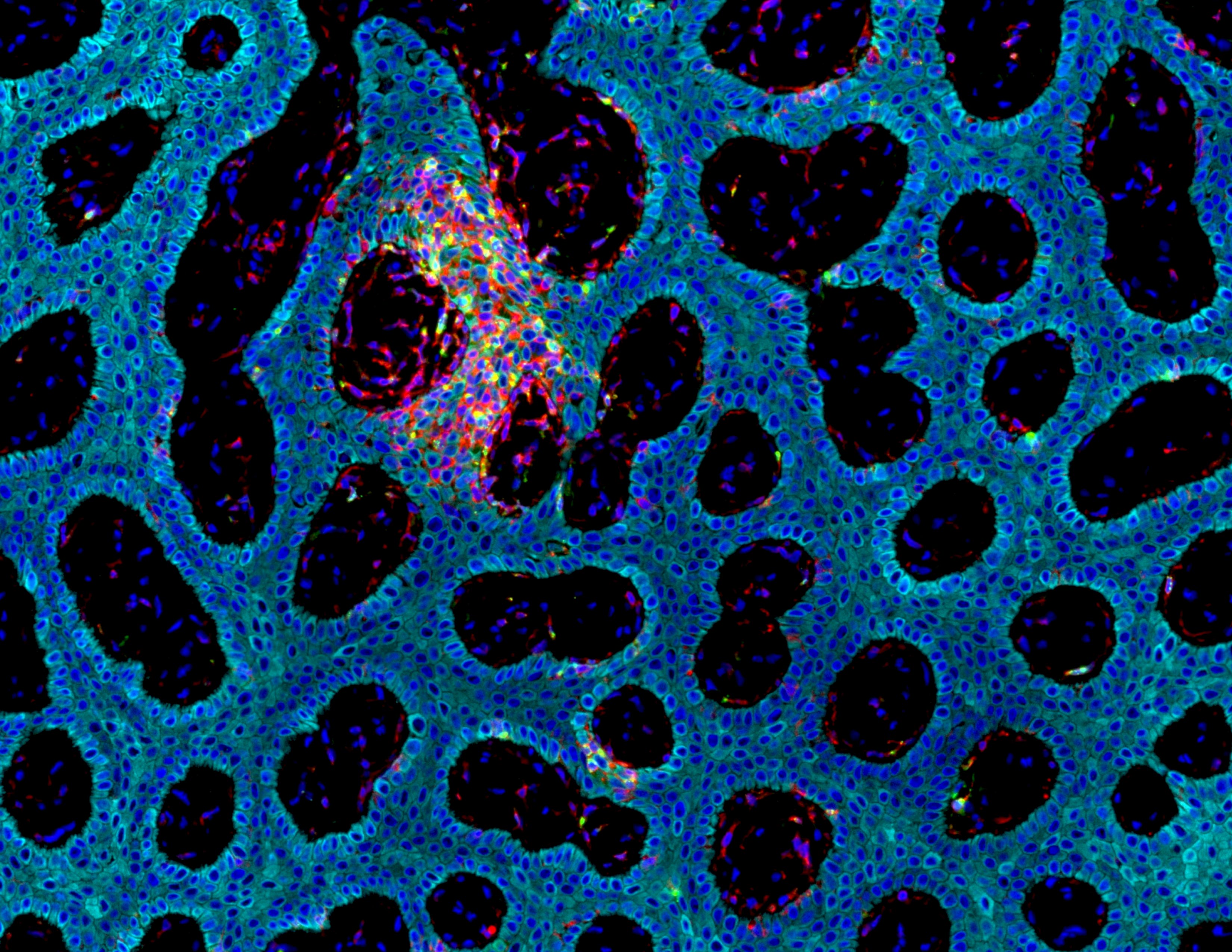
Breast duct harboring ductal carcinoma in situ.
Image courtesy of Aditi Khatpe, Stanford University.
Pancreatic ductal adenocarcinoma organoids.
Image courtesy of Yana Zavros, University of Georgia School of Medicine.
Human low-grade glioma.
Image courtesy of Scott M. Palisoul, Madhumala K. Sadanandappa, and George J. Zanazzi, Dartmouth Hitchcock Medical Center.
Reactive lymph node with granulomas.
Image courtesy of Cassandra J. Limoge and Jeremiah X. Karrs, Dartmouth Hitchcock Medical Center.
Human gastric adenocarcinoma.
Image courtesy of Shumpei Ishikawa, University of Tokyo.
Mouse glioblastoma.
Image courtesy of Raina Roche, Human Immune Monitoring Center, Icahn School of Medicine at Mount Sinai.
Oral systemic lupus erythematosus.
Image courtesy of Marcelo Freire, J. Craig Venter Institute.
Immune checkpoint inhibitor–induced epidermal lichen planus.
Image courtesy of Soizic Garaud, University of Brest.
Human brain tissue.
Image courtesy of Sachin Mathew, Human Immune Monitoring Center at Mount Sinai Hospital.













