2026 Calendar Contest
2026 Calendar Cover
Thank you to all of the researchers who submitted wonderful images.
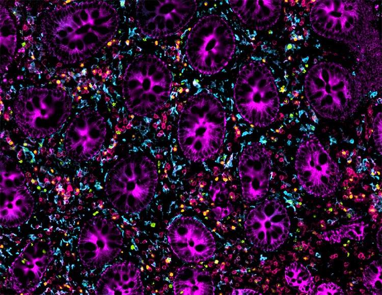
Our cover winning image was a 10 plex imaging of normal piglet jejunum. The image is courtesy of Cecilie Becker, University of Copenhagen and Simon Goldstein, La Jolla Institute for Immunology.
Additional images for the 2026 calendar
Orion 18 plex imaging of breast duct harboring ductal carcinoma in situ. Image courtesy of Aditi Khatpe, Stanford University.
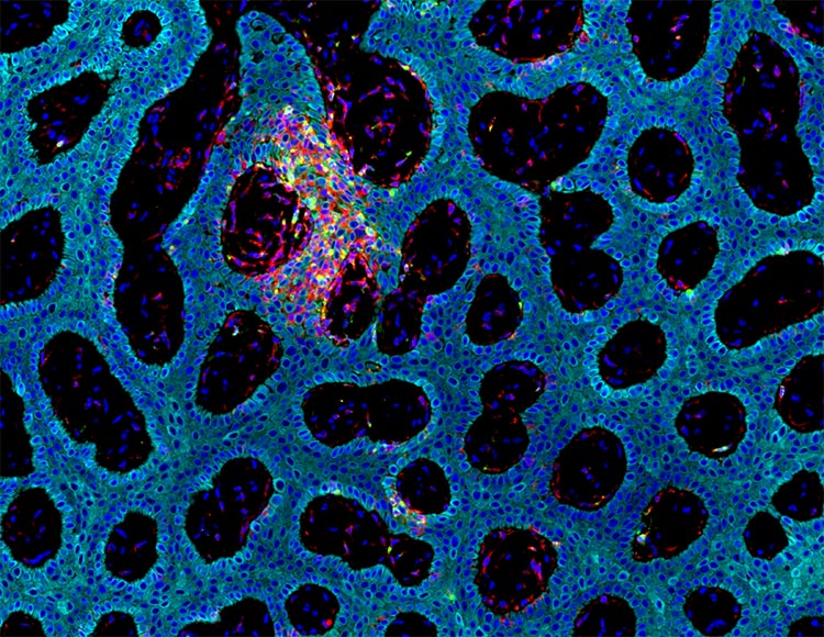
Orion 17 plex imaging of renal cell carcinoma. Image courtesy of Gaurav Shrestha, Ohio State University.
Orion 14 plex imaging of patient-derived pancreatic ductal adenocarcinoma organoids. Image courtesy of Yana Zavros, University of Georgia School of Medicine.
Orion 14 plex imaging of human low-grade glioma. Image courtesy of Scott M. Palisoul, Madhumala K. Sadanandappa, and George J. Zanazzi, Dartmouth Hitchcock Medical Center.
Orion 16 plex imaging of appendix. Image courtesy of Yuna Delarue, University of Brest.
Orion 13 plex imaging of human salivary gland. Image courtesy of Kevin Matthew Byrd, VCU.
Orion 14 plex imaging of reactive lymph node with granulomas. Image courtesy of Cassandra J. Limoge and Jeremiah X. Karrs, Dartmouth Hitchcock Medical Center.
Orion 17 plex imaging of human gastric adenocarcinoma. Image courtesy of Shumpei Ishikawa, University of Tokyo.
Orion 13 plex imaging of mouse glioblastoma. Image courtesy of Raina Roche, Human Immune Monitoring Center, Icahn School of Medicine at Mount Sinai.
Orion 16 plex imaging of oral systemic lupus erythematosus. Image courtesy of Marcelo Freire, J. Craig Venter Institute.
Orion 14 plex imaging of immune checkpoint inhibitor–induced epidermal lichen planus. Image courtesy of Soizic Garaud, University of Brest.
Orion 15 plex imaging of human brain tissue. Image courtesy of Sachin Mathew, Human Immune Monitoring Center at Mount Sinai Hospital.













